
Cirurgia guiada para protocolo total: planejamento e execução
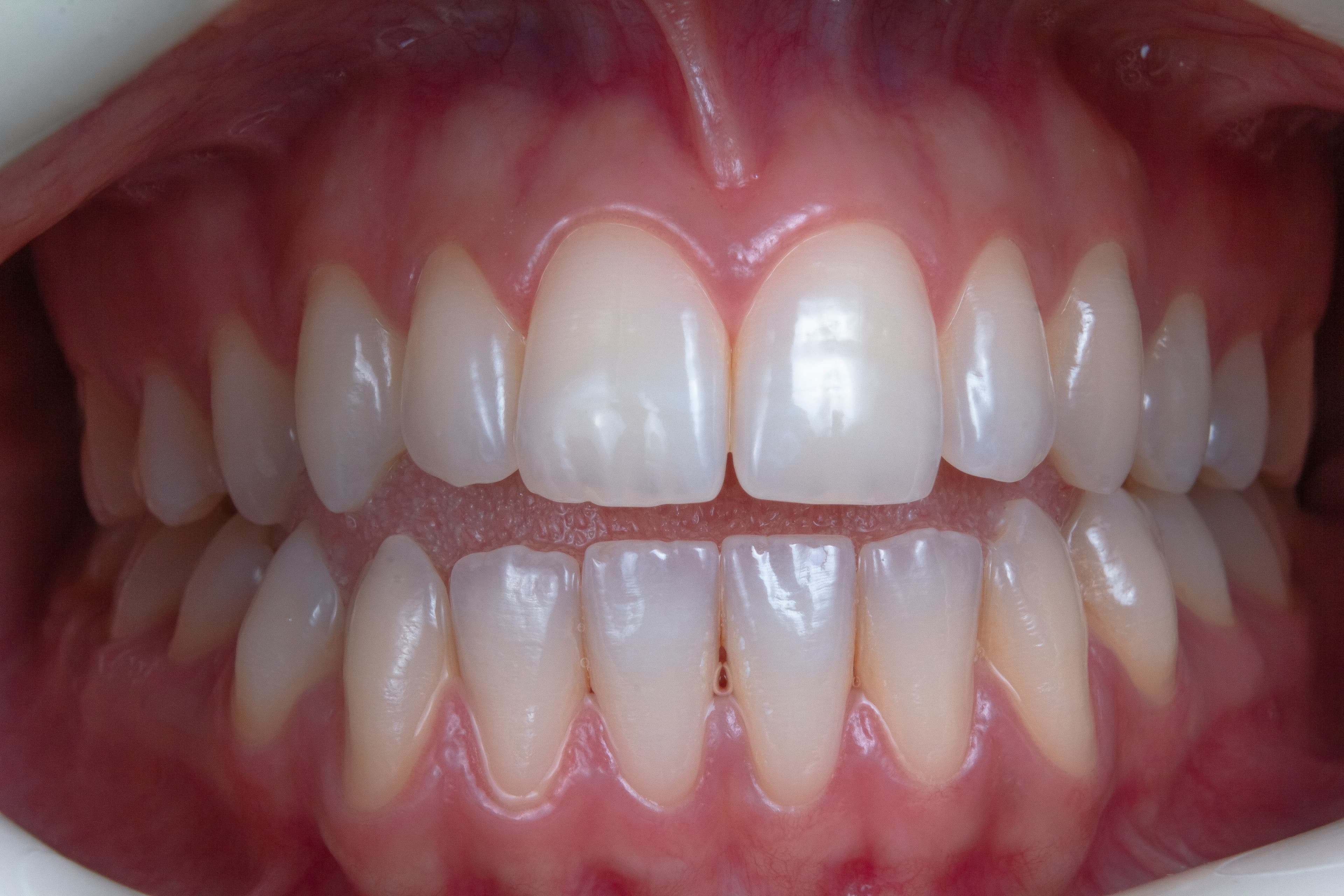
Veja como o guia cirúrgico torna a reabilitação total mais precisa, rápida e confortável para o paciente.



Referência em Próteses Dentárias
Materiais premium • Atendimento personalizado
Transformando sorrisos há mais de 15 anos em todo o Brasil
Especialista em próteses dentárias com foco na excelência, tecnologia e satisfação do cliente
Com mais de 15 anos de experiência no mercado, a Marina Jodar Laboratório Dental se destaca pela qualidade excepcional de seus serviços e pelo atendimento personalizado oferecido a cada cliente.
Nossa missão é proporcionar soluções em próteses dentárias que não apenas restauram a funcionalidade, mas também devolvem a confiança e o sorriso dos nossos pacientes.
Cada caso é único e recebe atenção especializada para garantir os melhores resultados.
Utilizamos materiais de primeira qualidade e processos rigorosos de controle.
Equipamentos modernos e técnicas inovadoras para resultados superiores.
Mais de 15 anos de experiência no mercado de próteses dentárias.

Especialização em próteses dentárias de alta qualidade
Especialização em próteses dentárias de alta qualidade
Oferecemos uma gama completa de serviços em próteses dentárias com qualidade excepcional
Próteses parciais e totais confortáveis e esteticamente perfeitas.
Soluções modernas para substituição de dentes perdidos com máxima durabilidade.
Foco na funcionalidade mastigatória e conforto do paciente.
Orientação técnica para dentistas e planejamento de casos complexos.
Entre em contato e solicite nossa tabela de preços. Qualidade e confiança em cada procedimento.
Conheça alguns dos nossos trabalhos em próteses dentárias. Cada projeto é único e desenvolvido com excelência e atenção aos detalhes.
Ver Toda a Galeria
Protocolo completo em acrílico caracterizado com excelente adaptação e estética natural, proporcionando um sorriso vibrante e natural.

Próteses provisórias em acrílico de alta qualidade para período de transição, oferecendo conforto imediato e proteção aos tecidos.

Protocolo híbrido combinando a flexibilidade do acrílico com a resistência da estrutura metálica, ideal para máxima durabilidade.

Próteses totais com caracterização avançada que replicam perfeitamente a aparência natural dos dentes, devolvendo a confiança e o sorriso.
Artigos especializados sobre próteses dentárias, cuidados bucais e dicas profissionais
Ver Todos os Artigos
Entenda como a prótese protocolo devolve função e estética ao sorriso e descubra os pontos de atenção antes do tratamento.

Veja como o guia cirúrgico torna a reabilitação total mais precisa, rápida e confortável para o paciente.

Checklist real para torque, documentação e logística em All-on-4 e protocolo Branemark.

Orientações objetivas sobre materiais, moldagens funcionais e manutenção.
Explore nosso blog completo com artigos especializados, dicas profissionais e o que há de mais moderno em próteses dentárias
Explorar Blog CompletoA satisfação dos nossos clientes é nossa maior recompensa. Veja alguns depoimentos reais
"Excelente trabalho da Marina Jodar! As próteses têm qualidade excepcional e os prazos são sempre cumpridos. Recomendo para todos os colegas."
Dentista
Respostas rápidas para dentistas e clínicas que buscam um laboratório parceiro em próteses dentárias de alta performance.
Não encontrou o que procurava? Fale com a nossa equipe técnica e receba orientação personalizada.
Estamos prontos para ajudar você a encontrar a melhor solução em próteses dentárias
Rua José Raul da Fonseca, 19
Parque Granja Esperança, Cachoeirinha - RS
CEP: 94.960-432
(51) 98456-7944
WhatsApp disponível
contato@marinajodar.com
Respondemos em até 24h
Segunda a Sexta: 8h às 12h e 13h às 18h
Fechado aos finais de semana
Preencha o formulário e clique em "Enviar" para abrir o WhatsApp com sua mensagem pronta!
Endereço: Rua José Raul da Fonseca, 19 - Parque Granja Esperança, Cachoeirinha - RS, CEP: 94.960-432